Traduzione automatica

L'articolo originale è scritto in lingua EN (link per leggerlo) .

Scopo. Confrontare i tassi di sopravvivenza e successo degli impianti e i valori del quoziente di stabilità dell'impianto (ISQ) degli impianti singoli a carico precoce con superficie sabbiata e acido-reattiva (SA, gruppo di controllo) versus impianti con superficie SA modificata con agente tampone di pH (SOI, gruppo di test).

Materiali e metodi. Questo studio è stato progettato come uno studio multicentrico, split-mouth, randomizzato controllato per valutare i tassi di sopravvivenza degli impianti e delle protesi, le complicazioni e il quoziente di stabilità dell'impianto (ISQ) in qualsiasi soggetto parzialmente edentulo che richiedeva almeno due corone singole supportate da impianti. È stata utilizzata una procedura di posizionamento dell'impianto in un'unica fase, e gli impianti sono stati randomizzati dopo la preparazione del sito implantare. I valori ISQ sono stati valutati per ciascun impianto, al basale e poi ogni settimana fino a 8 settimane dopo l'intervento chirurgico, e infine alla consegna della corona definitiva (12 settimane dopo il posizionamento dell'impianto).

Risultati. In totale, 62 pazienti di 9 centri sono stati arruolati in questo studio. Un paziente ha abbandonato lo studio a 8 settimane. Nei primi 12 settimane di osservazione, 2 impianti sono falliti, entrambi nel gruppo SA, la differenza non essendo statisticamente significativa (P = 0.5). Nessun fallimento protesico si è verificato fino a 4 mesi dopo l'applicazione. Sono state riscontrate cinque complicazioni, 3 nel gruppo SA e 2 nel gruppo SOI. La differenza tra i gruppi non era statisticamente significativa (OR = 0.66, 95% CI: 0.11 a 4.07; P = 0.650). Di queste complicazioni, è stata osservata perdita di stabilità senza rotazione in 2 impianti del gruppo SOI e 2 impianti del gruppo SA, tutti nella terza e quarta settimana di misurazioni. Tutti gli impianti sono stati sommersi e si sono osseointegrati con successo alla dodicesima settimana. L'ultima complicazione è stata il allentamento della vite di un impianto SA, che è stata risolta in poltrona. I valori ISQ medi al basale erano 76.57 ± 7.54 (95% CI 74.69 a 78.44) nel gruppo SA e 75.92 ± 7.69 (95% CI 73.89 a 77.73) nel gruppo SOI. I valori ISQ medi a 12 settimane erano 79.17 ± 7.83 (95% CI 77.03 a 81.29) e 78.82 ± 8.80 (95% CI 76.42 a 81.21) nei gruppi SA e SOI, rispettivamente. La modellazione a effetti misti ha rivelato una differenza statisticamente significativa tra i gruppi nel tempo, con valori ISQ leggermente inferiori per il gruppo SOI (-0.65; 95% CI -1.14 a -0.15). Differenze statisticamente significative sono state stimate anche tra i centri (P <0.001).

Conclusioni. All'interno delle limitazioni del presente rapporto preliminare, è possibile concludere che entrambi gli impianti possono essere caricati con successo in modo precoce.

 

Introduzione

Gli impianti dentali sono considerati uno strumento affidabile per la riabilitazione orale e diversi studi recenti hanno dimostrato sufficientemente la loro longevità e stabilità. Sono state provate varie tecniche per migliorare l'appeal e l'accettazione degli impianti da parte dei pazienti. Tra queste, un tempo di guarigione abbreviato è diventato uno dei principali obiettivi della ricerca sugli impianti. Sono stati tentati diversi approcci chirurgici per fornire una riabilitazione estetica e funzionale immediata. Sebbene una revisione sistematica Cochrane non sia riuscita a trovare prove convincenti di una differenza clinicamente significativa nei fallimenti di impianti e protesi associati a diversi tempi di carico degli impianti, rispetto alla procedura convenzionale, il posizionamento immediato dell'impianto in alveoli di estrazione freschi è stato associato a una maggiore incidenza di fallimenti degli impianti. Pertanto, nel corso degli anni sono stati introdotti diversi design macro e micro degli impianti nel tentativo di aumentare il contatto osso-impianto durante il tempo di guarigione, rendendo l'osseointegrazione più rapida. Le tecniche di modifica hanno subito uno sviluppo costante negli ultimi anni, con lo scopo di alterare la rugosità della superficie dell'impianto per creare un ambiente favorevole all'osseointegrazione. Le tecniche di modifica della superficie possono essere suddivise in tre categorie, fisiche e chimiche utilizzate singolarmente, o una combinazione di entrambe. Le tecniche di modifica chimica della superficie testate fino ad oggi includono sabbiatura micro-ruvida e incisione acida a grana grossa, rivestimento della superficie in titanio con uno strato nano-resorbibile di idrossiapatite e rivestimento con un agente tampone di pH. Una combinazione di tecniche fisiche e chimiche, rispettivamente sabbiatura con allumina seguita da incisione acida, produce una delle superfici di impianto meglio documentate nel campo dentale, con follow-up a lungo termine di successo. Tuttavia, una revisione Cochrane non è riuscita a mostrare alcuna differenza clinica rilevante tra i diversi tipi di impianti.

Tuttavia, Tallarico e i coautori hanno dimostrato che il quoziente di stabilità dell'impianto fisiologico (ISQ) diminuisce meno durante la fase di rimodellamento osseo con impianti sabbiati e acidificati con un nanrivestimento di apatite bioassorbibile rispetto agli impianti sabbiati e acidificati.

Recentemente, Osstem (Osstem Implant, Osstem Global, Seoul, Corea del Sud) ha introdotto una nuova superficie, modificata con un agente tampone di pH per migliorare l'osseointegrazione. Questo ha mostrato risultati promettenti nella ricerca di base, ma nonostante i risultati preliminari positivi ottenuti da uno studio controllato randomizzato indipendente (RCT)17, una revisione sistematica ha trovato poche differenze tra impianti dentali sabbiati e acidificati e la superficie tamponata al pH.

Per fornire ulteriori dati utili, questo studio randomizzato controllato multicentrico a bocca divisa è stato progettato per confrontare la sopravvivenza degli impianti, i tassi di successo e i valori ISQ degli impianti TSIII (Osstem Implant) a carico precoce con superficie sabbiata e acidificata (SA) versus una superficie SA modificata con agente tampone di pH (SOI) nella riabilitazione di corone supportate da impianti singoli. I due impianti utilizzati erano identici in termini di forma, dimensioni e geometria, l'unica differenza era la preparazione della superficie: la superficie dell'impianto SOI è idrofila, mentre la superficie SA è idrofoba (Fig. 1). L'ipotesi nulla testata era che non ci fosse differenza tra i gruppi rispetto all'ipotesi alternativa di una differenza. Il manoscritto è stato preparato secondo le linee guida della dichiarazione CONSORT per migliorare la qualità dei rapporti degli studi randomizzati (http://www.consort-statement.org/).

Fig. 1 Impianti con superfici SOI (sinistra) e SA (destra). L'impianto SOI ha una superficie idrofila (più scura) mentre l'impianto SA ha una superficie idrofobica

Materiali e metodi

Questo studio è stato progettato come uno studio multicentrico, randomizzato, controllato con un disegno a bocca divisa, con valutazione cieca dei risultati, ad eccezione delle complicazioni e dei fallimenti, che sono stati riportati dai dentisti curanti. Questo studio è stato condotto in conformità con i principi delineati nella Dichiarazione di Helsinki per la ricerca biomedica che coinvolge soggetti umani, come modificata nel 2018, ed è stato registrato su clinicaltrial.gov con il numero NCT04073654. Il protocollo di ricerca ha ricevuto approvazione etica dal centro coordinatore, situato in Albania (numero di protocollo 1/2018). Prima di iniziare il trattamento, tutti i pazienti sono stati debitamente informati sulla natura dello studio e hanno firmato un modulo di consenso informato scritto per le procedure chirurgiche e protesiche. I pazienti dovevano essere arruolati e trattati in 10 centri pubblici e privati in Europa e Sudafrica tra settembre 2019 e giugno 2021.

Criteri di inclusione/esclusione

Qualsiasi soggetto parzialmente edentulo che richiedeva almeno due corone singole supportate da impianti, con almeno 18 anni e in grado di firmare il consenso informato, è stato selezionato per l'idoneità. Sono stati utilizzati criteri di inclusione ampi, inclusi qualsiasi tipo di osso, posizione, abitudini di fumo, ecc. Era richiesto un volume osseo minimo per consentire il posizionamento di impianti di almeno 8,5 mm di lunghezza e 3,5 mm di larghezza, con una coppia di inserzione minima di 30 Ncm. Erano consentite cavità post-estrattive o osso aumentato se erano trascorsi almeno quattro mesi dalle procedure di estrazione o aumento. I fumatori sono stati classificati come fumatori moderati (fino a 10 sigarette/giorno) o fumatori pesanti (più di 10 sigarette/giorno), secondo la loro dichiarazione.

I pazienti non sono stati ammessi allo studio se erano presenti uno dei seguenti criteri di esclusione:

  • Controindicazioni generali alla chirurgia implantare;
  • Meno di 4 mm di gengiva cheratinizzata nei siti implantari;
  • Immunosoppressione o compromissione;
  • Irradiazione della testa e/o del collo negli ultimi 5 anni;
  • Diabete non controllato;
  • Gravidanza o allattamento;
  • Malattia parodontale non trattata;
  • Poor igiene orale e motivazione (sanguinamento totale della bocca e indice di placca totale superiore al 25%);
  • Dipendenza da alcol o droghe;
  • Problemi psichiatrici e/o aspettative irrealistiche;
  • Infezione acuta o suppurazione nel sito previsto per il posizionamento dell'impianto;
  • Qualsiasi forma di aumento dei tessuti richiesta al momento del posizionamento dell'impianto;
  • Immediato post-estrattivo (gli impianti potrebbero essere posizionati dopo un periodo di guarigione di 4 mesi);
  • Trattamento precedente o in corso con aminobisfosfonati per via endovenosa;
  • Rinvio per posizionamento dell'impianto da solo (nessun follow-up possibile presso il centro di trattamento);
  • Partecipazione ad altri studi, se il presente protocollo non poteva essere completamente rispettato.

Le radiografie preoperatorie (radiografia periapicale e/o tomografia computerizzata a fascio conico) sono state ottenute per ogni paziente potenzialmente idoneo per quantificare i volumi ossei nei siti di impianto pianificati. I pazienti con volumi ossei sufficienti per ricevere due impianti singoli sono stati invitati a partecipare allo studio e sono stati informati sulla sua natura. Solo dopo aver compreso appieno la natura dello studio (inclusi procedure, valutazioni di follow-up e eventuali rischi potenziali) sono stati invitati a partecipare e hanno firmato un consenso informato scritto. Per i pazienti con più di due siti di impianto idonei, gli operatori erano liberi di scegliere quei siti con le caratteristiche più simili durante la visita di screening, preferibilmente non adiacenti. I siti di impianto selezionati sono stati quindi codificati come numero 1 (il più basso secondo la notazione della FDI World Dental Federation) e numero 2 (il più alto).

Procedure cliniche

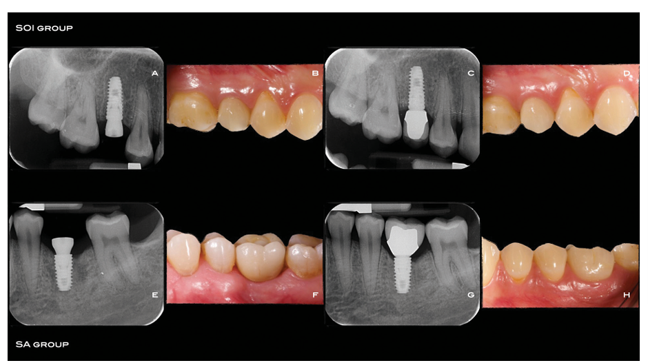
Circa 10 giorni prima dell'inserimento dell'impianto, tutti i pazienti hanno subito una sessione di igiene orale professionale. Tutti i pazienti hanno ricevuto terapia antibiotica profilattica: 2 g di amoxicillina 1 ora prima dell'intervento, o clindamicina 600 mg 1 ora prima dell'inserimento dell'impianto se allergici alla penicillina. Tutti i pazienti hanno sciacquato con collutorio di clorexidina allo 0,2% per 1 minuto prima di qualsiasi procedura chirurgica e sono stati trattati in anestesia locale utilizzando articaine con epinefrina 1:100.000. A seconda dell'anatomia del sito e delle preferenze del clinico, è stato ottenuto un accesso senza lembo o minilembi (lembo crestal senza incisioni verticali) (la stessa tecnica in ogni paziente). I siti di impianto sono stati preparati simultaneamente utilizzando punte coniche (800–1200 RPM) con abbondante irrigazione salina, secondo il protocollo di perforazione raccomandato dal produttore (kit 122 Taper, Osstem Implant) e densità ossea. Questa è stata valutata durante la fase di perforazione e classificata, in base all'esperienza del clinico, come: “duro”, “normale” o “morbido”. Gli operatori erano liberi di scegliere le lunghezze degli impianti in base alle indicazioni cliniche e alle loro preferenze. Se possibile, dovevano essere scelti due impianti della stessa lunghezza e diametro per ogni paziente. Gli impianti conici TSIII con superficie sabbiata e acido-reattiva (gruppo SA) o superficie SA modificata con agente tampone di pH (gruppo SOI) sono stati inseriti tramite un protocollo a una fase a livello osseo o leggermente subcrestale, con una coppia di inserimento minima di 30 Ncm. Gli impianti inseriti con una coppia inferiore dovevano essere esclusi da ulteriori misurazioni ISQ e lasciati guarire indisturbati per 4 mesi prima dell'applicazione della corona. La sequenza di trattamento è riportata nelle Fig. 2A-H.

Fig. 2 Da A a D: sequenza di trattamento nel gruppo SOI, posizionamento dell'impianto (A); consegna della protesi 12 settimane dopo il posizionamento dell'impianto (B); radiografia periapicale alla consegna della protesi (C); follow-up di 4 mesi (D). Da E a H: sequenza di trattamento nel gruppo SA posizionamento dell'impianto (E); consegna della protesi 12 settimane dopo il posizionamento dell'impianto (F); radiografia periapicale alla consegna della protesi (G); follow-up di 4 mesi (H)

Dopo il posizionamento dell'impianto, sono stati collegati gli appropriati multipegs (Hiossen, Englewood Cliffs, NJ, USA) agli impianti uno alla volta, e il quoziente di stabilità dell'impianto (ISQ) è stato misurato utilizzando l'analisi della frequenza di risonanza tramite il dispositivo IS3 Monitor (Hiossen). Gli abutment di guarigione sono stati collegati agli impianti utilizzando un driver manuale, e qualsiasi lembo è stato chiuso con suture. È stato consigliato un trattamento analgesico post-chirurgico con ibuprofene 600 mg secondo necessità. Gli antibiotici (1 g di amoxicillina, o clindamicina 600 mg se i pazienti erano allergici alla penicillina) sono stati somministrati due volte al giorno per 5 giorni. Le misurazioni ISQ sono continuate settimanalmente per 8 settimane dopo il posizionamento dell'impianto, e poi alla dodicesima settimana, come riportato in un precedente studio pubblicato. Ad ogni punto temporale, gli abutment di guarigione sono stati svitati, sono stati attaccati gli appropriati multipegs agli impianti, uno alla volta, e sono state effettuate due misurazioni: buccopalatale e mesiodistale. Infine, gli abutment di guarigione sono stati riavvitati in posizione utilizzando un driver manuale, dopo la pulizia e disinfezione con clorexidina allo 0,2% e un pulitore ad ultrasuoni. Le impronte definitive sono state prese otto settimane dopo il posizionamento dell'impianto, e le corone definitive sono state consegnate dodici settimane dopo il posizionamento dell'impianto. Gli impianti dovevano essere restaurati come unità singole. Gli investigatori erano liberi di adattare corone metal-ceramiche definitive o corone in ceramica piena, che potevano essere sia cementate che trattenute da vite. Tuttavia, procedure e materiali identici dovevano essere utilizzati per gli impianti di entrambi i gruppi nello stesso paziente. Le corone/abutment definitive sono state avvitate due volte a 20 o 30 Ncm (secondo le istruzioni del produttore e considerando la piattaforma dell'impianto), con un intervallo di 10 minuti. È stata controllata l'occlusione, e le istruzioni per l'igiene orale sono state rinforzate se necessario. Sono state effettuate radiografie periapicali e fotografie intraorali al posizionamento dell'impianto e all'adattamento della corona definitiva.

Le misure di esito primarie erano i fallimenti degli impianti e delle protesi, e sono state registrate eventuali complicazioni.

  • Il fallimento dell'impianto è stato definito come un impianto che ruota durante il serraggio/allentamento della vite di abutment, frattura e/o qualsiasi infezione che richieda la rimozione dell'impianto o altra complicazione meccanica che renda l'impianto inutilizzabile.
  • La sostituzione della corona per qualsiasi motivo è stata considerata un fallimento della protesi.
  • Qualsiasi complicazione biologica (dolore, gonfiore, suppurazione, ecc.) e/o meccanica (allentamento della vite, scheggiatura dei materiali ceramici, ecc.) è stata registrata.

La misura di esito secondaria era il quoziente di stabilità dell'impianto (ISQ), come registrato da valutatori ciechi utilizzando l'analisi della frequenza di risonanza. Sono state effettuate misurazioni buccopalatali e mesiodistali e mediate, con il risultato visualizzato dal dispositivo in unità ISQ che vanno da 1 a 100. I valori ISQ sono stati registrati al momento dell'inserimento dell'impianto (baseline) e poi settimanalmente fino all'ottava settimana, e infine alla dodicesima settimana dopo l'inserimento dell'impianto durante l'adattamento della corona definitiva.

I seguenti risultati secondari saranno valutati a un anno di follow-up: livelli ossei marginali (MBL); profondità della sonda (PPD), sanguinamento alla sonda (BOP), indice di placca (PI); e punteggio estetico rosa (PES). Un valutatore cieco dei risultati di ciascun centro raccoglierà i dati, e un valutatore cieco singolo valuterà MBL e PES.

Analisi dei dati

La dimensione del campione appropriata è stata stimata in 65 impianti in ciascun gruppo, da arruolare in 10 diversi centri, dato un effetto dimensionale d = 0.6383489, probabilità di errore ß 0.05, e potenza (1-ß errore prob = 0.95). La dimensione dell'effetto è stata determinata sulla base di uno studio simile precedente che riportava valori ISQ di 71.2± 4.07 per impianti a superficie convenzionale e 74± 4.68 per quelli con superficie modificata17. A causa del design split-mouth dello studio, ogni paziente ha fornito sia impianti di test (SOI) che di controllo (SA). Per evitare risultati sottodimensionati (<95%) a causa di possibili abbandoni, sono stati aggiunti 35 pazienti, portando a una dimensione totale del campione pianificata di 100 pazienti (200 impianti). A tal fine, ciascun centro doveva posizionare 10 impianti di test (SOI) e 10 impianti di controllo (SA) in 10 pazienti arruolati.

Di conseguenza, sono state create dieci liste di randomizzazione restrittiva generate al computer. Solo una persona, non coinvolta nella ricerca, era a conoscenza della sequenza di randomizzazione e aveva accesso alle liste di randomizzazione, che erano memorizzate su un laptop protetto da password. I codici di randomizzazione erano racchiusi in buste identiche, opache e sigillate numerate in sequenza, che venivano aperte in sequenza dopo che entrambi i siti di impianto erano stati preparati.

Tutta l'analisi dei dati è stata effettuata secondo un piano di analisi predefinito da due degli investigatori (MC e JB) senza conoscere l'allocazione dei gruppi. I dati dei pazienti sono stati registrati su un foglio di calcolo Excel (Microsoft Corporation, Redmond, Washington, USA). I fallimenti degli impianti e delle protesi, così come le complicazioni, sono stati annotati (risultati dicotomici). I valori ISQ (risultato continuo) sono stati analizzati in tutti i punti temporali (0, 1, 2, 3, 4, 5, 6, 7, 8 e 12 settimane). Il test di McNemar è stato condotto sui fallimenti degli impianti. Sono stati creati modelli a effetti misti per la variabile dipendente continua (ISQ) e modelli misti generalizzati per le variabili dipendenti dicotomiche (complicazioni), considerando i pazienti come effetti casuali e il tempo e il gruppo come effetti fissi. È stato creato un ulteriore modello a effetti misti per stimare le differenze tra i centri, considerando i pazienti come effetti casuali e il tempo e il centro come effetti fissi. Sono state prodotte analisi post-hoc e grafici degli effetti. È stato utilizzato il software statistico Jamovi Version 1.8.0.0 (Jamovi Project, Sydney, Australia) per tutte le analisi. I dati sono presentati come media ± deviazione standard con intervallo di confidenza (CI) al 95% e frequenza e percentuale per le variabili dicotomiche. I valori di P <0.05 sono stati considerati statisticamente significativi.

 

Risultati

I pazienti dovevano essere reclutati e trattati utilizzando procedure simili in 10 centri diversi, e ogni centro doveva reclutare e trattare 10 pazienti (20 impianti). Tuttavia, un centro non è riuscito a reclutare alcun paziente. I 9 centri rimanenti erano situati come segue: tre in Italia (MT, FG, LM), e uno ciascuno in Albania (EX), Bulgaria (DE), Romania (MG), Svizzera (NW), Sudafrica (AdW) e Polonia (LZ). I pazienti sono stati valutati per stabilire la loro idoneità per lo studio, e solo 2 centri (MT ed EX) hanno reclutato 10 pazienti, mentre 1 centro (MG) ha reclutato 9 pazienti, 2 centri (NW e AdW) 8 pazienti, 2 centri (LM e LZ) 6 pazienti, e i restanti 2 centri hanno reclutato 3 (DE) e 2 (FG) pazienti, rispettivamente. Novantuno pazienti sono stati inizialmente selezionati per l'idoneità, ma solo 62 partecipanti (23 uomini e 39 donne) sono stati consecutivamente arruolati nello studio dai nove centri partecipanti. I motivi per non includere 29 pazienti sono stati: visite di controllo frequenti (18 pazienti), necessità di rigenerazione ossea guidata (11 pazienti). Un paziente ha abbandonato lo studio all'ottava settimana dopo aver perso un impianto, sebbene questo sia stato sostituito, il paziente ha preferito ritirarsi dallo studio. Ventidue deviazioni dal protocollo originale si sono verificate in 6 centri, come riportato nella Tabella 1.

Tabella 1 Deviazioni dal protocollo originale

L'età media dei pazienti era di 52,1±14,3 anni, il 66,1% dei quali erano non fumatori, mentre il 27,4% fumava fino a 10 sigarette al giorno e il 6,5% fumava più di 10 sigarette al giorno. Sono stati posizionati un totale di 124 impianti, distribuiti equamente tra i gruppi SA e SOI. Il numero di diverse dimensioni di impianti utilizzati è riportato nella Fig. 3. Tutti i centri hanno adattato lo stesso tipo di protesi in entrambi i siti in tutti i pazienti, con un'eccezione (il Paziente 2 presso il Centro 3 ha ricevuto una corona a vite e una corona cementata). I materiali erano simili in entrambi i gruppi. In particolare, le protesi a vite erano nella grande maggioranza in entrambi i gruppi SA e SOI (69,4% e 68,1%, rispettivamente) e il 56,5% delle corone erano prive di metallo in entrambi i gruppi.

Fig. 3 Distribuzione della dimensione e del diametro dell'impianto per gruppo

Due impianti del gruppo SA sono stati persi, mentre nessun impianto è fallito nel gruppo SOI. Entrambi i precedenti sono stati persi (mobilità senza dolore) tra la 3ª e la 4ª settimana, e sostituiti immediatamente; l'impianto SOI rimanente nel paziente del Centro 7 è stato continuamente monitorato, mentre il paziente del Centro 10 si è ritirato dallo studio all'8ª settimana. La differenza nei fallimenti degli impianti tra i gruppi non era statisticamente significativa (P = 0.5). Nessun fallimento della protesi si è verificato in entrambi i gruppi nel periodo di studio di 12 settimane.

In totale, sono state riscontrate cinque complicazioni, tre nel gruppo SA e due nel gruppo SOI. Nei Centri 1, 7 e 8, 4 impianti (2 da ciascun gruppo) hanno mostrato manualmente una leggera mobilità orizzontale ma nessuna rotazione dell'impianto. Gli impianti sono stati sommersi e si sono osseointegrati con successo, e poi caricati a 12 settimane in linea con il protocollo dello studio. Una complicazione successiva si è verificata 8 settimane dopo il posizionamento della corona, specificamente una vite si è allentata in una corona supportata da impianto nel gruppo SA (Centro 3). Come stimato da un modello a effetti misti, la differenza nelle complicazioni tra i gruppi non era statisticamente significativa, essendo OR = 0.66, 95% CI 0.11 a 4.07; P=0.650.

La distribuzione delle misurazioni ISQ è riportata nella Tabella 2. I valori medi ISQ di base erano 76.57 ±7.54 (95% CI 74.69 a 78.44) negli impianti SA e 75.92 ±7.69 (95% CI 73.89 a 77.73) negli impianti SOI. I valori medi ISQ a 12 settimane erano 79.17 ±7.83 (95% CI 77.03 a 81.29) e 78.82 ± 8.80 (95% CI 76.42 a 81.21) nei gruppi SA e SOI, rispettivamente. Il modello a effetti misti ha rivelato una differenza statisticamente significativa tra i gruppi nel tempo, con valori ISQ più bassi nel gruppo SOI (-0.65; 95% CI -1.14 a -0.15; Tabella 3). Il grafico degli effetti nel tempo è mostrato nella Fig. 4.

Tabella 2 Distribuzione dei dati ISQ nel tempo
Tabella 3 Modello a effetti misti delle differenze tra gruppi in ISQ nel tempo (stime dei parametri degli effetti fissi)
Fig. 4 Grafico degli effetti per i valori ISQ nel tempo suddivisi per gruppo.

Il modello a effetti misti per le differenze tra i centri è riportato nella Tabella 4. Sono state stimate differenze statisticamente significative tra i centri (P <0.001). In particolare, il Centro 4 ha mostrato valori ISQ significativamente più bassi (P <0.001) rispetto a tutti gli altri centri. Tutte le differenze a coppie dall'analisi post-hoc sono riportate nella Tabella 5. Il grafico degli effetti nel tempo è mostrato nella Fig. 5.

Tabella 4 Modellazione a effetti misti delle differenze tra i centri in ISQ nel tempo (stime dei parametri degli effetti fissi)
Tabella 5 Confronti post-hoc tra i centri di ISQ nel tempo (confronti post hoc - centri)
Fig. 5 Grafico degli effetti per i valori di ISQ nel tempo suddivisi per centri

 

Discussione

Questo studio controllato randomizzato è stato progettato per fornire dati preliminari sulle prestazioni cliniche e sul quoziente di stabilità dell'impianto degli impianti Osstem TSIII con superficie SA modificata con un agente tampone di pH (SOI) utilizzati per la riabilitazione di corone supportate da impianti singoli, rispetto alla superficie SA convenzionale. Questo studio split-mouth ha rivelato una differenza statisticamente significativa a favore del gruppo SA, consentendo di rifiutare l'ipotesi nulla di assenza di differenza nell'ISQ tra i gruppi. Tuttavia, va notato che la differenza era solo di 0,65, il che non è clinicamente significativo.

Inoltre, confrontando i valori di ISQ tra i centri, ci sono state anche alcune differenze statisticamente significative in alcune comparazioni a coppie. Una possibile spiegazione per queste differenze potrebbe essere il diverso numero di pazienti trattati in ciascun centro. In alternativa, le discrepanze osservate potrebbero anche riflettere differenze nella stabilità primaria dell'impianto e nelle procedure utilizzate dai dentisti nei diversi centri. A questo proposito, anche se sono stati applicati gli stessi design di impianto e protocolli di perforazione, ci sono diversi altri fattori che possono influenzare i dati di misurazione dell'ISQ, inclusi ma non limitati alla qualità e quantità dell'osso. Questo solleva alcuni dubbi sulla rilevanza clinica dei valori di ISQ ai fini della valutazione rapida della stabilità dell'impianto.

Tuttavia, solo due degli impianti dell'intero campione hanno fallito, entrambi nel gruppo SA tra la terza e la quarta settimana, mentre tutti gli impianti nel gruppo SOI si sono integrati con successo; questa differenza non era statisticamente significativa e indica che entrambi i tipi di impianto testati possono essere caricati precocemente. Detto ciò, va notato che altri quattro impianti, 2 per gruppo, hanno presentato mobilità clinicamente rilevabile durante la terza e la quarta settimana e sono stati quindi sommersi, integrandosi eventualmente senza fallire. Anche se la tecnica sommersa non è un prerequisito per l'osseointegrazione, è opinione degli autori che si dovrebbe evitare di svitare ripetutamente l'abutment di guarigione durante le prime settimane di questo processo. Questa procedura è stata inclusa nel protocollo di prova solo per scopi di ricerca.

Una delle principali limitazioni di questo studio è la piccola dimensione del campione; la dimensione del campione pianificata non è stata raggiunta, quindi lo studio potrebbe essere sottodimensionato per gli scopi di testare l'ipotesi.

Inoltre, diverse misurazioni sono state interrotte a causa della quarantena COVID-19. Tuttavia, vale la pena notare che le misurazioni sono state interrotte in entrambi i gruppi a causa del design a mesi alterni dello studio. Un'altra limitazione della presente ricerca è il breve follow-up. Tuttavia, l'obiettivo principale di questo articolo è riportare la tendenza nella stabilità di entrambi i tipi di impianto durante il periodo di osseointegrazione.

Infatti, sebbene gran parte della ricerca in odontoiatria implantare sia attualmente focalizzata sullo studio delle superfici bioattive, sono disponibili solo pochi rapporti di studi umani, con la maggior parte della letteratura basata su ricerche animali. Le restrizioni etiche non consentono l'analisi istologica negli esseri umani, ma c'è un'opinione generale generata da studi animali e in vitro che la modifica della superficie dell'impianto può migliorare l'osseointegrazione precoce. Tuttavia, i risultati di questo studio preliminare sono in accordo con le conclusioni tratte da una precedente revisione sistematica e da uno studio controllato randomizzato sugli esseri umani, che non hanno trovato alcuna differenza statisticamente significativa tra le superfici degli impianti convenzionali e quelle modificate. Lo scopo delle superfici modificate è migliorare l'osteogenesi da contatto attorno agli impianti dentali, accelerando l'osseointegrazione nella fase di guarigione precoce. Nel presente studio, gli impianti sono stati posizionati in osso guarito, con un contatto diretto osso-impianto, con alta stabilità primaria dell'impianto. Anche se l'analisi istologica attorno agli impianti posizionati negli esseri umani non è fattibile per motivi etici, sono necessari ulteriori studi controllati randomizzati per valutare le prestazioni degli impianti con superficie modificata in casi con uno spazio tra impianti e osso o scarsa qualità ossea.

 

Conclusioni

Nonostante le limitazioni del presente studio, sembra che gli impianti con una superficie modificata con un agente tampone di pH (SOI) possano essere utilizzati in sicurezza per la riabilitazione precoce di corone singole supportate da impianti, ma che questi non offrano vantaggi rispetto agli impianti con una superficie convenzionale sabbiata e acido-reattiva (SA). Sono necessari ulteriori studi per confermare o smentire questi risultati preliminari.

 

Łukasz Zadrożny, Erta Xhanari, Mircea Gheorghita, Andre De Waal, Nicolas Widmer, Leonardo Muzzi, Elitsa Deliverska, Fulvio Gatti, Marta Czajkowska

Riferimenti

  1. Howe M-S, Keys W, Richards D. Sopravvivenza a lungo termine (10 anni) degli impianti dentali: una revisione sistematica e meta-analisi di sensibilità. J Dent 2019;84:9-21.
  2. French D, Ofec R, Levin L. Prestazione clinica a lungo termine di 10 871 impianti dentali con un follow-up fino a 22 anni: uno studio di coorte in 4247 pazienti. Clin Implant Dent Relat Res 2021;23:289-97.
  3. Testori T, Galli F, Capelli M, Zuffetti F, Buti G, Esposito M. Carico immediato non occlusale versus carico precoce di impianti dentali in pazienti parzialmente edentuli - follow-up di 15 anni di uno studio controllato randomizzato multicentrico. Clinical Trials in Dentistry 2021;03:5-20.
  4. Testori T, Gaul F, Capelli M, Zuffetti F, Esposito M. Carico immediato non occlusale versus carico precoce di impianti dentali in pazienti parzialmente edentuli: risultati a 1 anno da uno studio clinico controllato randomizzato multicentrico. Int J Oral Maxillofac Impl 2007;22:815-22.
  5. Fernández R, Peñarrocha-Oltra D, Peñarrocha-Diago M, Buti J, Xhanari E, Esposito M. Posizionamento naturale o palatale degli impianti immediati post-estrattivi nella zona estetica? Risultati a cinque anni di uno studio controllato randomizzato multicentrico. Clinical Trials in Dentistry 2020;02:59-71.
  6. Esposito M, Grusovin MG, Maghaireh H, Worthington HV. Interventi per la sostituzione dei denti mancanti: diversi tempi per il carico degli impianti dentali. Cochrane Database Syst Rev 2013:CD003878.
  7. Felice P, Barausse C, Buti J, Gessaroli M, Esposito M. Impianti post-estrattivi singoli immediati, precoci (6 settimane) e ritardati (4 mesi): dati post-carico a 3 anni da uno studio controllato randomizzato. Clinical Trials in Dentistry 2019;01:5-23.
  8. Atieh MA, Payne AG, Duncan WJ, Cullinan MP. Restauro/carico immediato di impianti singoli immediatamente posizionati: è un approccio bimodale efficace? Clin Oral Implants Res 2009;20:645-59.
  9. Chen J, Cai M, Yang J, Aldhohrah T, Wang Y. Carico immediato versus carico precoce o convenzionale di impianti dentali con protesi fisse: una revisione sistematica e meta-analisi di studi clinici controllati randomizzati. J Prosthet Dent 2019;122:516-36.
  10. Mello C, Lemos C, Verri F, Dos Santos D, Goiato M, Pellizzer E. Posizionamento immediato di impianti in alveoli di estrazione freschi versus impianti ritardati in alveoli guariti: una revisione sistematica e meta-analisi. Int J Oral Maxillofac Surg 2017;46:1162-77.
  11. Morton D, Bornstein MM, Wittneben JG, Martin WC, Ruskin JD, Hart CN, Buser D. Carico precoce dopo 21 giorni di guarigione di impianti in titanio non sommersi con una superficie sabbiata e acido-reattiva modificata chimicamente: risultati di due anni di uno studio prospettico multicentrico. Clinical Implant Dent Relat Res 2010;12:9-17.
  12. Tallarico M, Baldini N, Gatti F, Martinolli M, Xhanari E, Meloni SM, Cervino G, Lumbau Aurea I. Ruolo delle nuove superfici idrofile sul tasso di successo precoce e stabilità dell'impianto: risultati post-carico a 1 anno di uno studio controllato randomizzato multicentrico, split-mouth. Eur J Dent 2021;15:1-7.
  13. Park C-J, Lim JH, Tallarico M, Hwang K-G, Choi H, Cho G-J, Kim C, Jang S, Song J-D, Kwon AM, Jeon SH, Park H-K. Rivestimento di una superficie di impianto sabbiata e acido-reattiva con un agente tampone di pH dopo fotofunzionalizzazione a vuoto-UV. Coatings 2020;10:1040.
  14. Kang JH, Kim S-K, Pae HC, Park JY, Cha J-K, Choi S-H. Influenza della superficie dell'impianto rivestita con un agente tampone di pH sull'osseointegrazione precoce. J Korean Dental Sci 2018;11:5-13.
  15. Buser D, Janner SF, Wittneben JG, Brägger U, Ramseier CA, Salvi GE. Tassi di sopravvivenza e successo a 10 anni di 511 impianti in titanio con una superficie sabbiata e acido-reattiva: uno studio retrospettivo in 303 pazienti parzialmente edentuli. Clinical Implant Dent Relat Res 2012;14:839-51.
  16. Esposito M, Ardebili Y, Worthington HV. Interventi per la sostituzione dei denti mancanti: diversi tipi di impianti dentali. Cochrane Database Syst Rev 2014:CD003815.
  17. Schätzle M, Männchen R, Balbach U, Hämmerle CH, Toutenburg H, Jung RE. Cambiamento di stabilità degli impianti palatali in titanio sabbiati/acido-reattivi modificati chimicamente. Uno studio clinico controllato randomizzato. Clin Oral Implants Res 2009;20:489-95.
  18. Chambrone L, Shibli JA, Mercurio CE, Cardoso B, Preshaw PM. Efficacia degli impianti dentali standard (SLA) e modificati sabbiati e acido-reattivi (SLActive) nel promuovere protocolli di carico occlusale immediato e/o precoce: una revisione sistematica di studi prospettici. Clin Oral Implants Res 2015;26:359-70.
  19. Tallarico M, Vaccarella A, Marzi GC, Alviani A, Campana V. Uno studio clinico prospettico caso-controllo che confronta impianti Nobel Biocare TiUnite a 1 e 2 fasi: analisi della frequenza di risonanza valutata da Osstell Mentor durante l'integrazione. Quintessence Int 2011;42:635-44.
  20. Huang H, Wu G, Hunziker E. Il significato clinico delle misurazioni del quoziente di stabilità dell'impianto (ISQ): una revisione della letteratura. J Oral Biol Craniofac Res 2020;10:629-638.
  21. Tallarico M, Vaccarella A, Marzi GC. Risultati clinici e radiologici del posizionamento di impianti a 1-versus 2 fasi: risultati a 1 anno di uno studio clinico randomizzato. Eur J Oral Implantol 2011;4:13-20.
  22. Pae H-C, Kim S-K, Park J-Y, Song YW, Cha J-K, Paik J-W, Choi S-H. Caratteristiche bioattive di una superficie di impianto rivestita con un agente tampone di pH: uno studio in vitro . J Periodont Impl Sci 2019;49:366-81.
  23. Nicolau P, Guerra F, Reis R, Krafft T, Benz K, Jackowski J. Risultati a 10 anni con impianti caricati immediatamente e precocemente con una superficie SLA modificata chimicamente. Quintessence Int 2018;50:2-12.