/education-service/media/default/1384/b8e3cf1a.jpg)
Archiviato.
Questo contenuto non è in vendita. Puoi scegliere i materiali formativi nel nostro catalogo.
Implant-Perio Evolution 2.0: Partial Extraction therapies
/education-service/media/default/34277/fb9acfc3.jpg)
Howie Gluckman
Dettagli del corso
Lettori
Dettagli
1o 47m
Inglese
Programma della lezione
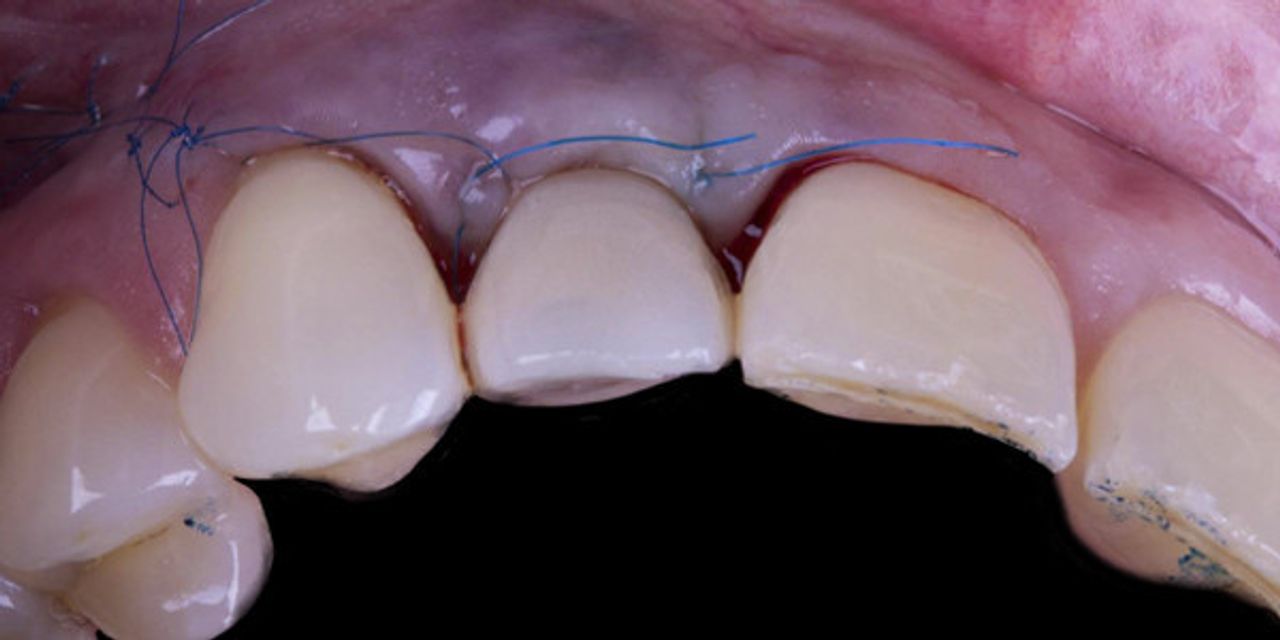
- Partial Extraction Therapies- Root submergence technique- The Pontic Shield- Socket shield technique- Procedures and Technical aspects- Rotated palatal flap and suture techniques
The loss of teeth will lead to resorption of the buccal plate with its resultant need for extensive augmentative procedures (both bone and soft tissue) as well as the risk of poor long term aesthetic stability. Partial Extraction Therapies (PET) are techniques that allow us to maintain the buccal bone plate and hence prevent the collapse of the alveolar bone creating a platform for ideal soft tissue and bone which is stable in the long term. This is a greater problem in the aesthetic areas.
