Flusso di lavoro per allineatori termoplastici in studio
Traduzione automatica
L'articolo originale è scritto in lingua EN (link per leggerlo) .
Gli allineatori trasparenti sono, senza dubbio, l'opzione più popolare nella pratica ortodontica clinica attuale. Man mano che la conoscenza relativa a quest'ultima è aumentata, sono state proposte diverse modalità di trattamento. Il flusso di lavoro digitale gioca un ruolo significativo nel trattamento della malocclusione, fornendo un'indicazione precisa di quanto e in quale punto ogni dente si muoverà; pertanto, può essere considerato come il modo per fornire la prescrizione più personalizzata possibile. Molti marchi offrono allineatori trasparenti e la decisione su quale utilizzare dipende interamente dal clinico; tuttavia, l'opzione di fabbricarli nella propria clinica è un processo economico e prevedibile di cui tutti i clinici dovrebbero essere a conoscenza.
Introduzione
Nel 1949, Orrin Remensnyder brevettò un apparecchio ortodontico rimovibile per raddrizzare i denti. Nel 1993, il Dr. John J Sheridan sviluppò il mantenitore Essix, il primo sistema di allineatori trasparenti, e successivamente Align Technology (San Jose, CA, USA) creò Invisalign. La terapia con allineatori trasparenti (CAT) è aumentata in popolarità, dimostrando che con una buona diagnosi ortodontica, una pianificazione attenta del trattamento e conoscenza della biomeccanica, i risultati desiderati possono essere raggiunti nei pazienti.
L'evoluzione della CAT è senza dubbio dovuta agli sviluppi digitali come la scansione intraorale, la scansione dei modelli dentali, il software, la stampa 3D e i materiali termoplastici. Sebbene tali attrezzature fossero inizialmente estremamente costose, l'aumento della domanda di tecnologia e di allineatori trasparenti ha permesso ai clinici di generare un flusso di lavoro digitale in ufficio più economico.
Il presente articolo presenta un flusso di lavoro completo per gli allineatori in ufficio, delineando come ottenere buone registrazioni del paziente e digitalizzarle, generare e pianificare movimenti prevedibili nel software, stampare modelli in resina ottimali e utilizzare fogli termoplastici per fabbricare allineatori completamente funzionali.
Descrizione dettagliata del flusso di lavoro
Registrazioni del paziente
Innanzitutto, l'ortodontista deve ottenere registrazioni accurate del paziente. Con il rapido avanzamento della tecnologia e delle informazioni ad essa relative, il processo decisionale può diventare più complesso per il clinico, ad esempio riguardo alla decisione se far scansionare il paziente o utilizzare un modello. Come hanno dimostrato diversi studi, entrambi i metodi offrono vantaggi e svantaggi. La scansione intraorale riduce il tempo di seduta e il tempo necessario per elaborare il file digitale STL affinché sia pronto per lavorare; tuttavia, questo metodo rimane costoso, considerando il costo dello scanner stesso e, in alcuni casi, gli aggiornamenti software richiesti. Il metodo tradizionale dell'impronta, sia utilizzando alginato che silicone, è significativamente più economico, ma il tempo di elaborazione e di seduta aumenta. Maggiore comfort per il paziente si ottiene quando si utilizza uno scanner intraorale. Per quanto riguarda l'accuratezza, entrambi i metodi non mostrano differenze significative. È importante tenere in considerazione che più lungo è l'intervallo di scansione da un singolo dente a un'arcata dentale completa, maggiore è la probabilità di errore.
Due semplici protocolli possono essere utilizzati per ottenere buoni registri dei pazienti:
- Materiale per impronte in silicone a addizione e scanner da tavolo: Il silicone a addizione in pasta viene posizionato su un vassoio per impronte, e sopra di esso, silicone a addizione fluido (Fig 1). Il vassoio viene quindi posizionato nella bocca del paziente. Quando viene ottenuto il calco, deve essere scansionato, prima con entrambe le arcate separatamente e poi con entrambe in occlusione, per generare un file STL.
- Scansione intraorale: Lo scanner Trios 3Shape (Copenaghen, Danimarca) è uno scanner ad alta velocità con buona riproducibilità dei dettagli. Il clinico deve assicurarsi che i denti siano asciutti e che nessuna luce venga diretta nella bocca del paziente; altrimenti, lo scanner non otterrà un'immagine precisa.

Preparazione del file STL
Il file STL ottenuto dalla scansione della bocca del paziente viene quindi caricato nel software 3Shape Clear Aligner Studio per avviare il processo di segmentazione e renderlo pronto per l'uso (Fig 2).

Il primo passo prevede la segmentazione del modello. Sul lato sinistro dello schermo c'è la scheda di controllo con un grafico che mostra un arco dentale, in cui deve essere selezionato il dente da cui inizierà il processo di segmentazione. Qualsiasi dente non presente deve essere eliminato dal grafico prima di fare qualsiasi altra cosa, e poi devono essere selezionati il punto distale e mesiale per ogni dente (Fig 3). Dopo questo, deve essere selezionata la seconda scheda per definire i tagli del margine gengivale per ogni dente; questo deve essere fatto sia per le superfici buccali che per quelle palatali/linguali. Deve quindi essere utilizzato lo strumento Sculpt per levigare le superfici di ogni dente, in particolare le superfici mesiali e distali. Questo è importante perché elimina i punti di contatto rigidi che potrebbero interferire con i movimenti di rotazione di alcuni denti (Fig 4).


Una volta che i denti sono stati partizionati, deve essere definito il lungo asse di ciascun dente. Il software 3Shape offre l'opzione di aggiungere una scansione CBCT per abbinare la posizione della radice con il modello STL, rendendo possibile trovare il vero lungo asse di ciascun dente al fine di ottenere risultati migliori per ogni tipo di movimento programmato.
Programmazione: movimento dei denti, posizionamento degli attacchi e sotto-configurazioni
Una volta che entrambe le arcate sono state impostate, il software offre l'opzione di iniziare a muovere ciascun dente nella posizione desiderata. Questo può essere fatto trascinando ciascuno e spostandolo lungo l'asse, oppure cliccando sul grafico di movimento a destra che mostra angolazione, inclinazione, rotazione, ecc. (Fig 5). È anche possibile scegliere di lavorare su una o entrambe le arcate contemporaneamente.

Per quanto riguarda il posizionamento degli attacchi, la dimensione e la posizione degli attacchi possono essere modificate nel software. L'ortodontista è ovviamente completamente responsabile della selezione e del posizionamento degli attacchi e del loro effetto sul movimento dei denti (Fig 6). Una delle parti più importanti e definitive del processo è la programmazione dei sotto-setup. I sotto-setup sono il mezzo per scegliere l'ordine in cui si verificano i movimenti programmati dei denti; ad esempio, per il incisivo laterale mandibolare sinistro per iniziare a muoversi nell'allineatore #1 e il canino mandibolare sinistro per iniziare a muoversi nell'allineatore #3. Questo consente al clinico di comprendere appieno cosa sta accadendo durante ciascuna fase del trattamento (Fig 7).


Una volta programmati i sotto-setup, l'ultimo passo è decidere quanti allineatori indosserà il paziente. Come norma, 0,20 a 0,25 mm di traduzione del dente e 2 gradi di rotazione del dente funzionano bene. Alcuni movimenti, come l'espansione trasversale, funzionano meglio con un movimento buccale di 0,18 mm per allineatore, il che riduce l'inclinazione della corona buccale e l'estrusione relativa delle cuspidi palatali che potrebbero creare contatti prematuri.
Modelli in resina acrilica stampati in 3D
Prima di stampare i modelli 3D, il file STL finale deve essere caricato nel software di stampa 3D PreForm (Formlabs, Somerville, MA, USA) e deve essere definita la direzione di stampa (Fig 8). Se i modelli sono posizionati orizzontalmente, le cuspidi molari non verranno riprodotte perfettamente, mentre se sono posizionati verticalmente, la superficie buccale degli incisivi mancherà di dettagli. Pertanto, la posizione ottimale, che è stata convalidata in un contesto clinico dall'autore presente, è a un angolo di 80 gradi, in modo che la stampante possa riprodurre la massima quantità di dettagli.

Un gran numero di stampanti 3D sono ora disponibili sul mercato. È stata utilizzata una stampante Form 2 (Formlabs) nello studio presente; si tratta di una stampante a stereolitografia (SLA) che utilizza cartucce di resina per stampare e riprodurre dettagli di altissima qualità. I tempi e i protocolli di stampa variano da una stampante all'altra, ma devono essere rispettati per ottenere un risultato ottimale. Quando il processo di stampa è completato, i modelli avranno uno strato di resina acrilica non indurita che deve essere pulito con alcol isopropilico al 99%, prima di essere posizionati in un forno a ultravioletti per 24 minuti per completare il processo di indurimento.
Processo di formatura sottovuoto per fogli termoplastici La fabbricazione degli allineatori comporta la termoformatura di un foglio di plastica sul modello in resina acrilica e poi il ritaglio e la lucidatura dell'allineatore. La macchina per la formatura sottovuoto dovrebbe avere una sovrapressione di 6 bar per minimizzare le differenze tra gli allineatori che vengono fabbricati.
I fogli termoplastici variano in spessore da 0,50 a 0,75 mm; si raccomanda uno spessore di 0,75 mm. Duran (Scheu-Dental, Iserlohn, Germania), Biolon (Dreve Dentamid, Unna, Germania) e Zendura (Bay Materials, Fremont, CA, USA) sono tre marche di fogli termoplastici che sono considerate sicure per uso clinico in termini di citotossicità. I primi due sono composti da polietilene tereftalato glicole (PETG), mentre il terzo è una resina poliuretanica. Un'altra marca comunemente utilizzata nel processo di fabbricazione degli allineatori termoplastici e che mostra buone proprietà meccaniche è Essix (Dentsply Sirona, Charlotte, NC, USA), con Essix C+ raccomandato per i pazienti con bruxismo ed Essix ACE per gli altri.
Le proprietà fisiche e meccaniche dell'allineatore fabbricato varieranno a seconda del tipo di plastica utilizzata; alcune potrebbero mostrare una significativa diminuzione delle forze di flessione dopo il termoformatura e una deformazione permanente durante il trattamento.
Rifilatura e lucidatura dell'allineatore
Praticamente qualsiasi fresa da laboratorio dentale per rifilatura è adeguata per lavorare con fogli termoplastici. Si consiglia un uso attento poiché un aumento della temperatura potrebbe deformare la plastica. Per la lucidatura, una fresa di lucidatura in silicone a tre fasi per acrilico (Kerr Dental, Orange, CA, USA) funziona bene. Il prodotto finale mostra adeguate proprietà estetiche (Fig 9).

Utilizzo clinico degli allineatori termoplastici
La selezione dei pazienti e la diagnosi sono fattori chiave per ottenere risultati ottimali con gli allineatori e, in effetti, con qualsiasi tipo di dispositivo ortodontico. Detto ciò, è consigliabile iniziare la terapia con allineatori in ufficio per trattare le malocclusioni con una chiusura dello spazio fino a 2,00 o 3,00 mm e con affollamento non superiore a -4,00 mm. Programmare 2 gradi di rotazione per allineatore e 0,20-0,25 mm di traduzione darà all'ortodontista un maggiore controllo sul trattamento, minimizzando angolazioni indesiderate e migliorando il controllo delle radici. Sebbene alcuni autori raccomandino di cambiare gli allineatori ogni 2 settimane, se si considera la deformazione del foglio termoplastico, una frequenza di cambio di 10 giorni sarebbe ottimale.
Posizionamento degli attacchi
Il posizionamento degli attacchi sui diversi denti viene effettuato preparando la superficie del dente con acido ortofosforico al 37% e un agente di adesione. La resina composita deve essere posizionata nelle parti cave degli allineatori che corrisponderanno agli attacchi. Il template utilizzato per questo è lo stesso del template #0. Nel software 3Shape Clear Aligner Studio, l'allineatore #0 ha già movimento, quindi per posizionare gli attacchi in modo preciso, tutte le barre verdi nel processo di subsetup devono essere posizionate per iniziare sull'allineatore #1.
Errori di fabbricazione
Gli errori comuni commessi durante il processo di fabbricazione includono una scarsa rifinitura e lucidatura dei bordi dell'allineatore, che potrebbero danneggiare i tessuti molli, e la mancanza di adattamento dell'allineatore al dente, specialmente sugli estremi dell'arcata, ad esempio i secondi molari.
Pincers per allineatori
I pinze sono utili per rifinire i dettagli e correggere il trattamento in corso quando i denti non si allineano con l'allineatore come dovrebbero. Le pinze per rotazione (IX888, Pinze per Allineatori Ixion, DB Orthodontics, Silsden, Regno Unito) (Fig 10a) e le pinze per coppia (IX887, Pinze per Allineatori Ixion, DB Orthodontics) (Fig 10b) aiutano l'allineatore ad aumentare la pressione su determinate superfici dentali. Le pinze a goccia (IX890, Pinze per Allineatori Ixion, DB Orthodontics) (Fig 10c) creano un gancio nel margine gengivale per l'uso di elastomerici, e le pinze perforatrici (IX891, Pinze per Allineatori Ixion, DB Orthodontics) (Fig 10d) rendono possibile incollare bottoni o attacchi creando un ritaglio circolare sull'allineatore. Le pinze di ritenzione (IX889, Pinze per Allineatori Ixion, DB Orthodontics) (Fig 10e) aumentano la ritenzione ai denti creando un'impronta circolare di 1 mm. Questa impronta può essere utilizzata anche se un dente non è stato in grado di seguire un movimento di estrusione fino a 1 mm.

Casi clinici
Caso 1
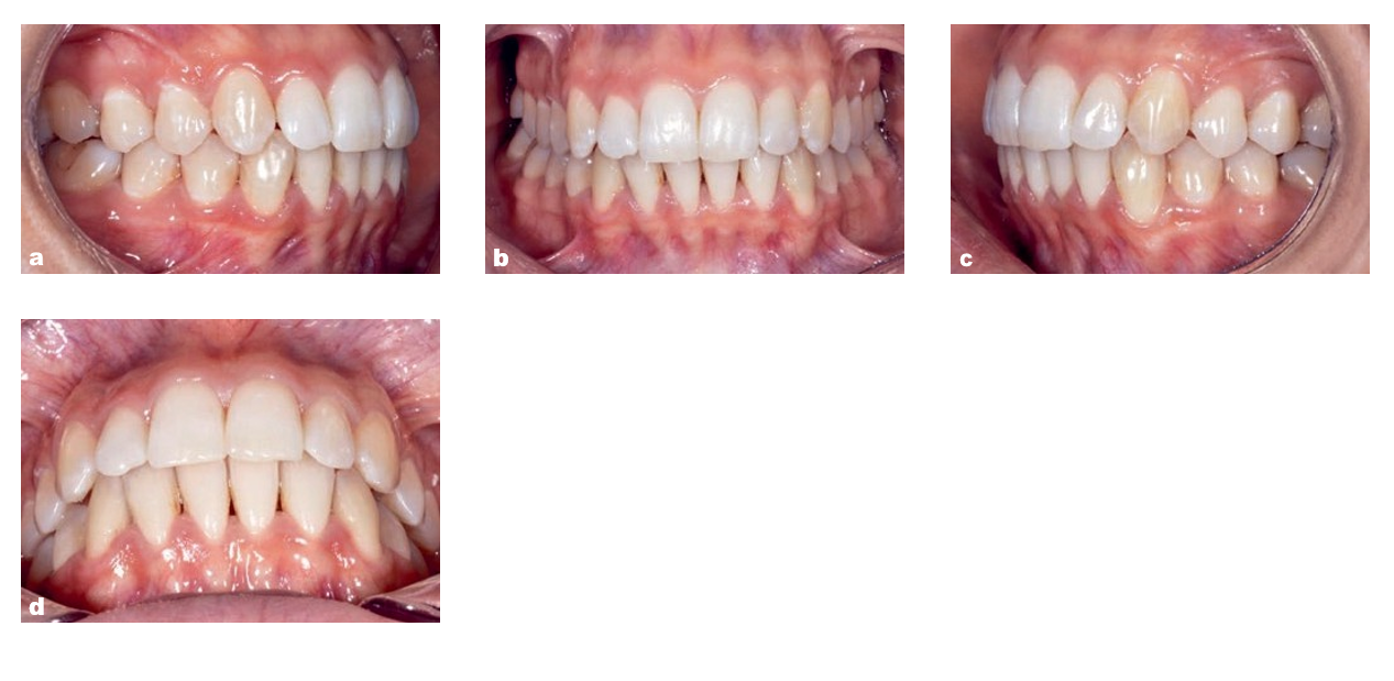
Una donna si è presentata in clinica con il principale problema di affollamento. Presentava un morso profondo e affollamento anteriore (Fig 11) e ha ricevuto un trattamento con allineatori in ufficio con 14 allineatori. Il risultato finale mostra un miglioramento nell'allineamento dei denti, così come nella occlusione finale (Figs 12 e 13).



Caso 2
Una donna con una storia di parodontite e migrazione dentale si è presentata con deviazione della linea mediana superiore, triangoli neri e diastemi come conseguenze della parodontite. Un periodo di trattamento di 4 mesi con 11 allineatori ha portato a una buona occlusione, correzione della linea mediana e un miglioramento nell'aspetto dei triangoli neri (Figg 14 a 16).



Conclusione
Gli allineatori in ufficio sono un'eccellente modalità di trattamento che consente agli ortodontisti di trattare i pazienti con una prescrizione personalizzata, incorporando un flusso di lavoro digitale completo nella pratica clinica.
Riferimenti:
- Kesling HD. La filosofia dell'apparecchio per il posizionamento dei denti. Am J Orthod Oral Surg 1945;31:297–304.
- Rinchuse DJ, Rinchuse DJ. Movimento attivo dei denti con apparecchi basati su Essix. J Clin Orthod 1997;31:109–112.
- Tamer İ, Öztaş E, Marşan G. Trattamento ortodontico con allineatori trasparenti e la realtà scientifica dietro il loro marketing: Una revisione della letteratura. Turk J Orthod 2019;32:241–246.
- Rossini G, Parrini S, Castroflorio T, Deregibus A, Debernardi CL. Efficacia degli allineatori trasparenti nel controllo del movimento dentale ortodontico: Una revisione sistematica. Angle Orthod 2015;85:881–889.
- Kihara H, Hatakeyama W, Komine F, et al. Accuratezza e praticità dello scanner intraorale in odontoiatria: Una revisione della letteratura. J Prosthodont Res 2020;64:109–113.
- Rungrojwittayakul O, Kan JY, Shiozaki K, et al. Accuratezza dei modelli stampati in 3D creati da due tecnologie di stampanti con diversi design della base del modello. J Prosthodont 2020;29:124–128.
- Ryu JH, Kwon JS, Jiang HB, Cha JY, Kim KM. Effetti della termoformatura sulle proprietà fisiche e meccaniche dei materiali termoplastici per allineatori ortodontici trasparenti. Korean J Orthod 2018;48:316–325.
- Hou D, Capote R, Bayirli B, Chan DCN, Huang G. L'effetto dei setup diagnostici digitali sulla pianificazione del trattamento ortodontico. Am J Orthod Dentofacial Orthop 2020;157:542–549.
- Sfondrini MF, Gandini P, Malfatto M, Di Corato F, Trovati F, Scribante A. Modelli computerizzati per scopi ortodontici utilizzando scanner intraorali senza polvere: Accuratezza, tempo di esecuzione e feedback dei pazienti. Biomed Res Int 2018;2018:4103232.
- Goracci C, Franchi L, Vichi A, Ferrari M. Accuratezza, affidabilità ed efficienza degli scanner intraorali per impronte a pieno arco: Una revisione sistematica delle evidenze cliniche. Eur J Orthod 2016;38:422–428.
- Giachetti L, Sarti C, Cinelli F, Russo DS. Accuratezza delle impronte digitali in protesi fissa: Una revisione sistematica degli studi clinici. Int J Prosthodont 2020;33:192–201.
- Michelinakis G, Apostolakis D, Tsagarakis A, Kourakis G, Pavlakis E. Un confronto dell'accuratezza di 3 scanner intraorali: Uno studio in vitro a singolo cieco. J Prosthet Dent 2020;124:581–588.
- Leite WDO, Campos Rubio JC, Mata Cabrera F, Carrasco A, Hanafi I. Processo di termoformatura sottovuoto: Un approccio alla modellazione e ottimizzazione utilizzando reti neurali artificiali. Polymers (Basel) 2018;10:143.
- Martina S, Rongo R, Bucci R, Razionale AV, Valletta R, D’Antò V. Citotossicità in vitro di diversi materiali termoplastici per allineatori trasparenti. Angle Orthod 2019;89:942–945.
- Inoue S, Yamaguchi S, Uyama H, Yamashiro T, Imazato S. Influenza della deformazione costante sull'elasticità dei materiali ortodontici termoplastici. Dent Mater J 2020;39:415–421.
- Clements KM, Bollen AM, Huang G, King G, Hujoel P, Ma T. Tempo di attivazione e rigidità del materiale degli apparecchi ortodontici rimovibili sequenziali. Parte 2: Miglioramenti dentali. Am J Orthod Dentofacial Orthop 2003;124:502–508.
- Bollen AM, Huang G, King G, Hujoel P, Ma T. Tempo di attivazione e rigidità del materiale degli apparecchi ortodontici rimovibili sequenziali. Parte 1: Capacità di completare il trattamento. Am J Orthod Dentofacial Orthop 2003;124:496–501.
- Jindal P, Juneja M, Siena FL, Bajaj D, Breedon P. Proprietà meccaniche e geometriche degli allineatori dentali trasparenti termoformati e stampati in 3D. Am J Orthod Dentofacial Orthop 2019;156:694–701.

/public-service/media/default/502/niTne_671f5bd12caa2.jpg)
/public-service/media/default/503/IFtXR_671f5beb7d971.jpg)
/public-service/media/default/492/X8jD1_671f58d712828.png)
/public-service/media/default/500/UaJFG_671f5ba0175c0.jpg)